
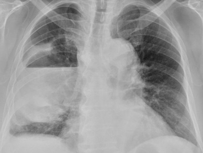
68歲的張先生為高血壓患者,平時有抽菸和喝酒習慣,突然出現咳嗽和發燒症狀,時間長達兩周,在診所拿藥服用後仍未改善。最後除了發燒和咳嗽加劇外,還合併右側胸痛及呼吸漸喘等症狀,才至醫院治療。台南市立醫院胸腔暨食道外科醫師方副吉表示,患者出現14公分大的肺膿瘍,因此緊急以廣泛性抗生素治療,狀況才開始好轉。
肺膿瘍是一種肺實質化膿性的細菌感染,會造成組織壞死,引發肺實質開洞而形成空氣液面變化。方副吉說,為治療患者的右側肺膿瘍,安排電腦斷層,經皮胸腔導管引流出約700 cc帶有惡臭味的黃白色膿液後,再治療呼吸喘的症狀,患者病情才進一步改善。至於患者的膿液,培養的結果是厭氧性細菌,必須使用抗生素治療至少四周以上。雖然感染狀況沒擴散,但仍面臨隨時要以手術介入可能。
罹患肺膿瘍的族群,多數出現在中風長期臥床、酗酒、蛀牙、牙周病患者,甚至拔牙時,未經適當抗生素治療者都有可能。此外,高血壓、糖尿病、慢性肝病或腎臟病等抵抗力差的病人,或施打毒品者,也易出現嚴重肺部感染疾病。肺膿瘍常見病原菌,為口腔黏膜厭氧菌,也可能伴隨葡萄球菌與腸道格蘭氏陰性菌等感染,常見症狀包括發燒、咳嗽、胸痛或呼吸困難,甚至咳血。
目前治療肺膿瘍以抗生素為主,療程約六到八周,若是對抗生素治療效果差的患者,出現持續發燒、咳血、膿瘍過大或合併氣管肋膜瘻管、膿胸、持續敗血症者,則需透過外科肺葉及感染組織切除手術治療。提醒患者,嚴重的肺膿瘍易有併發症,切勿拖延,若出現呼吸道感染症狀,當病情加劇時,應盡快到醫院治療。
健康醫療網提醒您:戒除不良習慣、以保身體健康!












