日前有一間專門醫治特殊動物的泰國動物醫院,在臉書曬出「呆萌鵝鵝住院」的照片,只見畫面中鵝鵝乖巧地躺在病床上,腹部還露出粉嫩的手術痕跡,讓一旁來探病的鵝爸爸面露心疼,超可愛的照片甫公開就引發許多網友點讚分享,現在就一起來看看吧!

位於泰國暖武里府的「Panalai Veterinary Hospital」,是一間專門醫治特殊動物的動物醫院,患者包含鸚鵡、象龜、松鼠、獅子和蛇等,而前陣子醫院於臉書粉專上曬出一張鵝鵝住院照引發熱議!原來照片裡這隻接受手術的小女鵝,是因為誤食電線而必須緊急開刀,而父愛爆棚的鵝爸爸也親自到現場待命,若需要輸血就可以即刻上場,讓網友直呼「超暖心」!


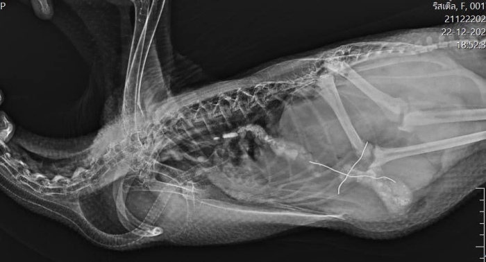
從醫院 Po 出的 X 光照中可以看到,電線卡在小女鵝的身體內,須得透過手術才能取出,因此院方對鵝鵝進行麻醉,將腹部的毛毛剃掉後實施開刀的動作。由於藥物的作用,小女鵝一臉生無可戀地攤平在手術床上,兩支「鳥仔腳」直挺挺的擺著,而一旁鵝爸爸心疼探頭查看女鵝的狀況,彷彿在對她叮嚀:「下次別再把什麼東西都放進嘴巴裡!」可愛又搞笑的場景讓網友都嘴角失守啦~
雖然不小心誤食電線,所幸術後傷口復原良好,小女鵝也很快就回家和飼主以及鵝爸爸團聚,看完整起事發經過,網友們也紛紛留言回覆「很可愛,但為什麼我有點餓」「可愛的呆頭鵝」「表情看起來好茫然 XD」,也有人打趣道:「這刀是不是廚師開的?」「還好是送進手術房不是廚房」,妞妞們有什麼想法呢?
最後也別忘了追蹤寵物圈圈的 FB 及 IG,得到最新的萌寵資訊呦!
https://www.instagram.com/p/ClDold1vjqg
Source:Panalai Veterinary Hospital


















