
他以為只是貧血 竟診斷出大腸癌
日前一名49歲林先生,因缺鐵性貧血做進一步健康檢查,發現竟罹大腸癌第二期;醫師提醒,貧血是一個症狀或症候群,就如頭痛一樣,必須追根究柢找出原因,否則會反覆發生;男性或已停經婦女,更該提高警覺。
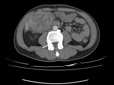
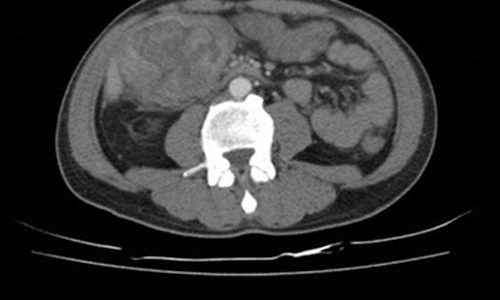
林先生最近發現爬樓梯及運動時體力不濟,易氣喘吁吁,經健康檢查後發現血紅素降至5.4g/dL,是正常人12.3g/dL的一半,確定為「缺鐵性貧血」。但因此年齡層男性貧血並不常見,因此醫師立即安排內視鏡檢查,一查發現升結腸處有大腸腫瘤,切片證實為大腸癌。
臺北市立聯合醫院仁愛院區血液腫瘤科林哲斌醫師解釋,假設將大腸由脾臟彎處區分成左、右大腸,升結腸屬右大腸,其中的糞便尚未成型,所以在此處形成的大腸腫瘤不易早期發現,較常像林先生的狀況,等到貧血了才被發現,腫瘤也長大到7.4公分。
男性或已停經的婦女,若出現週期性生理失血,就必須要提高警覺,應赴院進行檢查,找出失血位置與原因,千萬不可輕忽而自行補鐵,導致疏忽身體內的重大危機。
根據100年癌症數據顯示,大腸直腸癌為癌症發生率第二名;提醒民眾,國民健康署有提供50歲以上,未滿75歲者,每兩年一次的免費大腸糞便潛血檢查,以利及早檢出大腸癌。












