
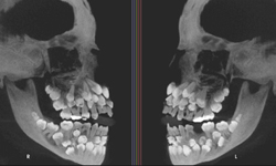
一般成人擁有的牙齒數量為28~32顆,而擁有超過這個數量的症狀就叫做多齒症Hyperdontia,有可能為基因遺傳影響,也有可能是後天環境使然,是種常見的症狀,多齒症牙齒不一定會外露,多數是深藏在骨骼內,而多出的牙齒數量可能會擠壓牙床生長空間而造成暴牙,或影響已生長的牙齒造成牙縫。
photo source: teeth-smile -dailymail

Photo souce: tooth-fairy -seenobjects
而一般的多齒症都可以用手術解決,牙醫只要透過X光線掃描也可以及早發現是否擁有該症狀,但是多齒症當中最稀少的摩爾型多齒症Molar-type,照片可是會讓人看了感覺非常不舒服!






Photo source: abstract -ajodo
多齒症很有可能因為後天環境或者咀嚼習慣而引發,雖然我們一般人不至於到摩爾式多齒症的壯快,但定期到牙科診所檢查、洗牙也是很重要的喔!
相同可怕的還有【乳齒未脫的兒童顱骨驚悚照】
Source: Hyperdontia -wikipedia, hyperdontia -pic-clip, supernumeraryteeth












