高血壓患者未良好控制血壓,容易導致腎臟病、腦中風、心肌梗塞、視網膜病變、周邊血管阻塞等併發症,不可輕忽!治療高血壓如果服用多種藥物仍未見控制,目前已經有新的治療「腎動脈交感神經阻斷術」可選擇,但是需要經過醫師診斷才能進行。

1名36歲的黃先生,有高血壓家族史,父母均有高血壓,本身也有七年的原發性高血壓病史,每日皆須服用多種降血壓藥物控制病情,黃先生考量自己年齡尚輕,加之服用多種藥物仍無法良好控制血壓,因此想尋求其他解決的治療方式。台北慈濟醫院心臟血管科劉冠良醫師經評估腎動脈狀況後,建議黃先生接受新式治療「腎動脈交感神經阻斷術」,術後兩天即可出院。後來黃先生得到良好的控制,只需要比以前少的藥物,即能順利將血壓維持於理想值,配合良好的飲食及規律作息,生活品質明顯改善。
未良好控制血壓
容易導致腎臟病、腦中風、心肌梗塞等併發症

正常血壓值應於120/80mmHg內,當高於此數值則可能為高血壓前期,若血壓值持續超過140/90 mmHg則為高血壓。高血壓可依其病因大致分為:原發性及次發性兩種,前者與生活作息、飲食、遺傳、年紀、肥胖等因素有關;後者則因是由其他內科疾病所致,若將疾病治好,血壓值即可獲得改善。劉冠良醫師表示:在台灣,約有三成以上的民眾患有高血壓,為常見的慢性疾病。但由於高血壓初期沒有明顯症狀,患者常不自知或未積極治療;然而,若未良好控制血壓,長期下來容易導致腎臟病、腦中風、心肌梗塞、視網膜病變、周邊血管阻塞等併發症。
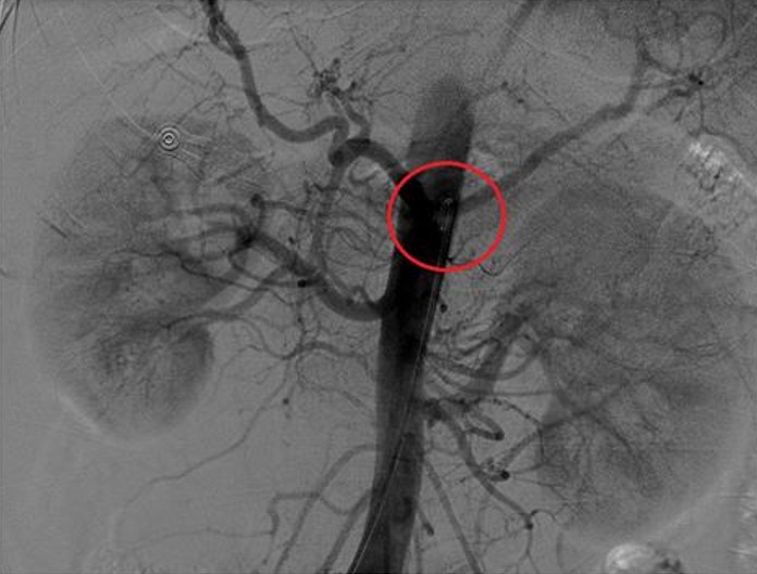
治療高血壓新選擇:腎動脈交感神經阻斷術

傳統治療原發性高血壓僅能透過藥物控制及作息改善,但部分患者即使服用3種以上的藥物,仍無法將血壓控制於130/80 mmHg的目標值內,或是對於服用多種藥物有明顯副作用。劉冠良醫師表示,腎動脈交感神經的活化其實與高血壓息息相關,隨著醫學日益進步,近年發展出「腎動脈交感神經阻斷術」,只須以微創方式於鼠蹊部或手肘處將導管伸入腎動脈處,再利用射頻燒灼阻斷部分交感神經的活性,即可有效控制血壓、減輕藥量,擁有傷口小、併發症少、復發低等優點,甚至約有兩成的患者術後可不再服藥。
然而,並非所有高血壓患者皆適用「腎動脈交感神經阻斷術」;若有腎動脈血管阻塞、畸形等腎功能不全者,則不適合進行此手術。同時,劉冠良醫師也提醒:術後血壓約需要3個月的時間才會漸漸達穩定值,並不會立刻下降,故患者仍須於醫師指示下規律服藥,切勿自行調藥或停藥。
【延伸閱讀】
急性主動脈剝離、主動脈瘤危險易致命!新式複合式人工血管支架手術,增加成功治癒機會























