相信大家都有聽過「拇指外翻」,但你知道究竟什麼是拇指外翻嗎?今天就讓妞編輯帶大家認識什麼是拇指外翻,也讓大家看一下要是拇指外翻了腳趾頭會變得多可怕,保證光用看的就覺得痛!
【警告:文中將有血腥鏡頭,請慎入!】

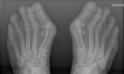
Photo Source: Hallux-
拇指外翻的特徵是大拇趾偏向第2根腳趾,第1蹠骨偏向內側,且形成骨狀突出物,圖片是拇指外翻的X光圖。
先讓大家看X光照壓壓驚,等你做好了心理準備,我們再來看看當彩色的拇指外翻圖!

Photo Source: Hallux valgus (Juanete)

Photo Source: Hallux valgus (Juanete)

Photo Source:矫正拇指外翻

Photo Source: Hallux Valgus - Arts - Orthopedie Lier
腳趾頭歪成這樣,害妞編輯邊看邊check自己的腳有沒有直直的!

Photo Source: The Chevron Osteotomy for Correctio
拇指外翻情形嚴重者,就要透過動手術來開刀治療了

Photo Source: Hallux valgus - Valgusfehlstellung

Photo Source: Turf Toe

Photo Source: Clinical pictures pre and post op

Photo Source: Operative treatment of feet deformitie
拇指外翻手術後的Before & After
就連女星楊紫瓊、徐若瑄都曾經深受拇指外翻的困擾!會造成拇指外翻除了有先天因素之外、也有人會因為精神容易緊張,習慣用腳掌抓地,長期下來導致拇指變形,不過大部分的原因多屬女生長期穿尖頭鞋、壓迫到大拇指,因而造成拇指外翻。愛美愛到最後造成反效果可不是只有因為整型而已,為了愛漂亮而穿不合腳、不舒適的鞋子,也會害到自己啊,到時候痛起來真的是「連呼吸也會痛」!













