毛孩間的跨種族友誼,總是如此簡單純真!這個汪星人與小豬的故事,出自於加拿大安大略省的Charlotte's Freedom Farm。據農場的負責人Lauren Edwards表示,Winnie是隻先天發育不健全的小狗,牠沒有前肢因此遭前主人棄養。不過來到農場後牠遇上了一隻小豬,從此成為密不可分的知心好友!

Lauren Edwards分享了一段溫馨友誼故事:「小狗Winnie因先天發育不健全沒有前肢,隨後遭到主人棄養,輾轉來到農場,而Wilma則是隻走失的迷路小豬,沒想到牠們在相遇後,竟會變得如此親密!」

小狗Winnie來到農場時只有六星期大,前主人表示,因為Winnie先天發育不健全,實在沒時間與精神去照顧,因此將牠棄養。農場的負責人Edwards則說,當她們看到Winnie後,可以說是對牠一見鍾情。雖然Winnie沒有前肢的確會影響到日常生活,但仍無法掩蓋牠的可愛!

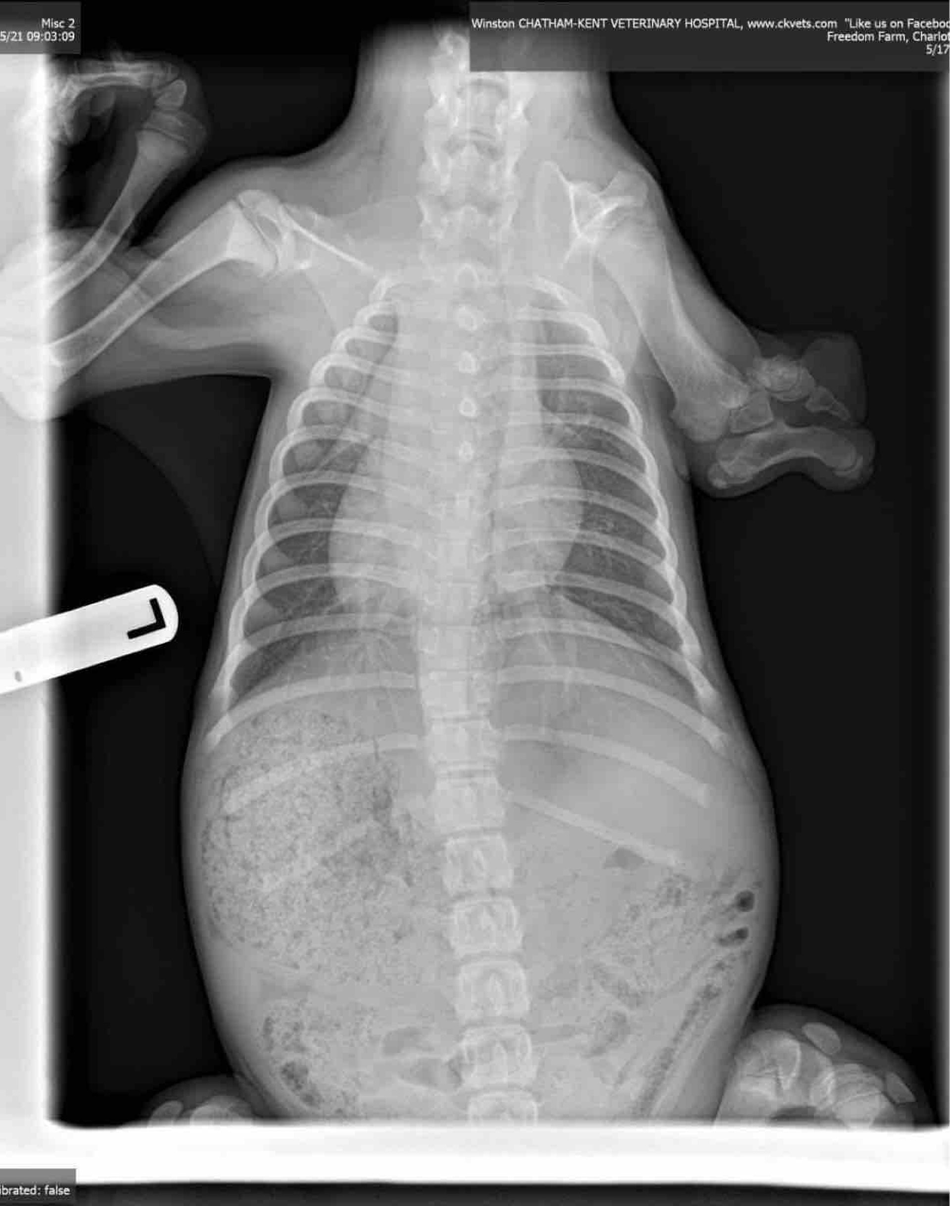
Edwards帶小狗Winnie去看獸醫,在X光顯示下,牠連前胸的肋骨也沒有,因此生命非常脆弱,Edwards更為小狗募資,希望藉着善款讓牠接受更好的治療。雖然沒法令Winnie長出前肢,但牠天性樂觀而且常常面帶笑容,令農場裏加添了不少快樂氣氛!

Winnie明明是男孩子,為何卻有這個女性化的名字呢?原來,農場的大家會叫牠Winnie the Roo,而牠還有一個名字叫Winston,這樣像男孩子吧~Winnie可以說已經成為農場的吉祥物,許多時候都用牠來作宣傳活動呢!

雖然在行動上會有不便,但Winnie對周圍事物充滿旺盛的好奇心,牠總是要前去探索一番,Winnie就是這麼有活力,完全不像有什麼缺陷。

Winnie來到農場已有幾個月,這天牠遇上了改變牠一生的好朋友,農場裡突然多了一隻小豬,牠的名字叫Wilma。Wilma是可愛的小女孩,牠突然在農場附近出現,Edwards猜測,Wilma可能是在運輸途中從貨車裏跳了出來,因此迷路了。

雖然Winnie和Wilma是不同品種的動物,但牠們卻是一見如故,感情好到不得了。小豬Wilma要外出挖洞,Winnie也跟着模仿,雖然Winnie很快便發現自己沒有這個技能,但還是要黏在Wilma身旁!

本來家裏的沙發只有Winnie一隻毛孩在享用,如今被Wilma霸佔,但這隻小萌汪也毫不介意,牠們感情好到睡覺也要在一起~

Edwards每天都會抽空帶Winnie外出曬曬太陽。這隻狗勾最喜歡在太陽底下散步了!Winnie雖然嬌小,但牠也能和大狗狗成為好朋友。Edwards表示,農場裏的所有人都很喜歡Winnie,並且答應會給牠最好的生活。現在Winnie靠輔助輪椅,已經能在農場裡自由地到處走動!

Edwards表示,她也不清楚為何Winnie會和小豬能如此親密,但Winnie能多一份愛,這難道不是一件好事嗎?接下來Winnie將會動手術,希望藉此改善牠肋骨脆弱的問題。而牠身上這件特製的防護背心,能在接下來的日子裡,有效保護牠胸前的肋骨不易受到傷害。
文章授權轉載自《香港01》
【延伸閱讀】

















